In Your 40s to 60s And Worried About Heart Disease? Here Is What You Can Do.
“If there ain’t no plaque, there ain’t no heart attack”
‘Snipers Alley’.
I had never heard the term before, but lots of my patients were using it, and it seemed to motivate them into action.
‘Snipers Alley’, it turns out, is an age between 40-60, where mostly males were having fatal heart attacks.
These patients were not overly bothered about having a heart attack at age 80, but usually, one of their friends, aged 52 or so, had just had a heart attack, and they did not want to be next.
What to do?
Invariably, they end up in front of me.
In general, these patients had been burning the candle at both ends for quite a while and were fearful that their actions over the last 10, 20, or 30 years may have landed them in ‘Snipers Alley’.
They usually:
Drank more than they knew they should.
Smoked - usually not every day but often on weekends.
Did minimal exercise.
Had gone up a jean size to two over the last decade.
Had blood pressures a little on the high side.
They knew they had not been doing all the things they should do, and they were worried that heart disease had them in its sights.
“Am I going to be ok?” is their most common question.
Of course, I cannot give a guaranteed answer to this question, but we can see if there are snipers out there in the long grass with their sights trained on you.
Risk Versus Disease.
The key issue when it comes to the near-term risk of a heart attack is whether you already have coronary artery disease and how much of it.
When I say the near term, I am talking about 5 to 10 years.
When I say long-term, I mean 50 years.
Risk factors such as high blood pressure, smoking, and inactivity are important because the longer you are exposed to them, the higher the odds you will develop coronary artery disease sooner in life.
And, by extension, have a higher risk of a heart attack.
But not everyone with risk factors develops early heart disease.
However, there are also those with not many risk factors who do develop early heart disease and, therefore, carry a higher risk of heart attack.
For near-term risk assessments, we need to assess for the presence and extent of the disease.
How do we do that?
We look directly at the coronary arteries using a cardiac CT scan.
Cardiac CT
There are two types of cardiac CT:
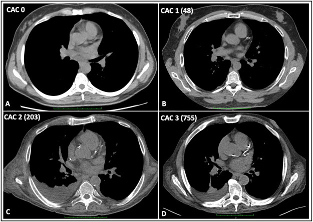
CT Coronary Artery Calcium (CAC) Scan
CT Coronary Angiogram (CTCA).
The CAC scan looks for deposits of calcium in the areas of the coronary arteries as a proxy marker for plaque.
It tells you ‘if’ there is plaque and how much, as a score called a CAC score.
When this scan is normal, the result is a CAC score of 0.
With a CAC score of 0, there is no advanced calcified plaque, and the risk of having a heart attack over the next ten years is in the range of 2%.
So a very low chance.
However, there are two very important caveats.
About 1 in 10 patients with a CAC of 0 will have some plaque identified on more in-depth scanning using CTCA1.
You have to benchmark when you are likely to go from a CAC score of 0 to greater than 0 to truly understand your risk.
Some patients with a CAC score of 0 can have non-calcified plaque, which does not show on a CAC scan.
In a very small number of patients, this will be obstructive coronary plaque, indicating that it has likely been accumulating for quite some time.
I have seen multiple examples of patients with a CAC score of 0 but high-grade non-calcified plaque.
Secondly, the average age a male converts from a CAC of 0 to a CAC >0 is 55. For females, it is at 66 years of age.
Therefore, having a CAC of 0 at under 55 for males and under 66 for females is the expected finding regardless of risk factors.
The CAC score of 0 still reflects a very low risk of a heart attack in the near term, but all it means is you are not accumulating significant plaque earlier in life.
But to be fair, this is the question that most people want answered.
CT Coronary Angiogram (CTCA)
The second type of cardiac CT is a CT coronary angiogram which involves slightly more radiation and also some contrast.
This scan gives a lot more anatomical detail and also assesses for non-calcified plaque.
If this scan is normal, then you do not have any calcified or non-calcified plaque, and by extension, your near-term risk of a heart attack is very low.
“If there ain’t no plaque, there ain’t no heart attack”.
When used to assess those presenting with chest pain, the use of CTCA led to a 41% reduction in the risk of future major heart events, including heart attacks and death from coronary artery disease2.
This was compared to using exercise stress testing.
Don’t get an exercise stress test just to ‘Check out your heart’. Just don’t.
It’s not a good test for assessing for plaque in the arteries.
Snipers Alley
So, as part of the workup for those in ‘Snipers Alley, ’ I routinely use cardiac CT.
If the person is very young and doesn’t have lots of risk factors, I hold off until they are older, but for the person who just ‘really wants to know,’ it is a useful test.
If they end up with a CAC score of 0 and no evidence of plaque, they usually breathe a sigh of relief.
For some however, they discover they already have a significant burden of coronary artery disease, and they are at a much higher risk of a heart attack than they thought.
Welcome to ‘Snipers Alley’.
Thankfully, we can usually implement a good strategy to significantly reduce that risk.
There’s Always A “But”.
But…
A normal cardiac CT does not mean a low risk of heart attack over a much longer time horizon, such as over the next 20+ years or their remaining lifespan, which may be 40 to 50 years.
With the risk factors that those in ‘Snipers Alley’ frequently have, their risk is much higher.
It just hasn’t translated into early plaque build-up just yet.
Which is good. For now.
Secondly, even with a normal cardiac CT, their risk factor profile will likely impact their quality of life over time.
Excess weight.
Poor sleep because of alcohol.
Poor functional capacity because of low aerobic fitness and low muscle mass.
Yes. With a normal cardiac CT, they might be able to slip through ‘Snipers Alley’, but a whole host of other foes await them in the future if they do not address their risk factors.
The evidence is clear: if you want to live a long life with a high quality, then managing risk factors has to be the priority.
But sadly, some people just want to sneak past the sharpshooters and hope for the best on the far side.
It’s not a strategy I agree with, but it is a strategy many people take.
Non-calcified plaque in asymptomatic patients with zero coronary artery calcium score: A systematic review and meta-analysis. Journal of Cardiovascular Computed Tomography,. Oct 9. 2023,
Coronary CT Angiography and 5-Year Risk of Myocardial Infarction. N Engl J Med. 2018 Sep 6;379(10):924-933.





Paddy, Liz and I finding your articles useful. Thank you
How would a chap in his late, late 50s (who wants to modify Fisk factors rather than just dodge snipers) set about getting a coronary CT in the UK? Is it in any way offered as nhs screening or would you need to arrange privately?
Thank you again
What criteria do you use to obtain a cardiac CT?